20:23, 12-март, 2026

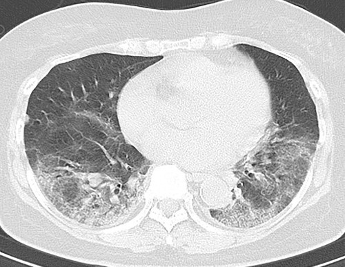
Коронавирус менен симптомдору жок ооругандардын өпкөсү жабыркаган

На русском
12:28, 10-апрель, 2020 420

Полный доступ к архивам АКИpress (общественно-политические новости, культура, происшествия и спорт, а также новости стран ЦА)

1 новость950 сомКупить
год15000 сомподписаться?
Данные тарифы действуют только для частных лиц.
Если вам необходим корпоративный доступ к материалам (для организаций, госорганов, ведомств и т.д), пожалуйста, свяжитесь с нами по почте info@akipress.org

Жаңы жана так маалыматтар «Инстаграмда»